О суставах и не только. Остеоартроз
Поговорим о некоторых видах артроза и лечении, в том числе о внутрисуставных инъекциях, PRP-терапии (плазмолифтинге).
Немного вспомним. Остеоартроз — это дегенеративно-дистро-фическое заболевание суставов, характеризующееся первичной дегенерацией суставного хряща с последующими изменениями суставных поверхностей и развитием краевых остеофитов, что приводит к деформации суставов. «Остеоартрит» — синоним терминов «артроз» и «остеоартроз». А -ит на конце слова подчеркивает, что остеоартроз — это не только дегенерация сустава, но и воспаление, артрит (синовит), в суставе появляется патологическая жидкость («сары су»). Артроз коленного сустава (наиболее распространенный) называется гонартроз, тазобедренного — коксартроз. Если поражено много суставов, в том числе кисти — это полиостеоартроз («поли» — много). В народе эту болезнь называют отложение солей, хотя в суставе откладываются не просто соли, которые можно смыть, это твердые костные разрастания, остеофиты. Они бывают незначительные (в коленном суставе это 1-2 мм), средние — 4-5 мм и большие (свыше сантиметра). Остеофиты никуда не могут деться в результате терапевтического лечения, большие остеофиты чаще всего нужно оперировать. Об оперативном лечении — чуть позже.

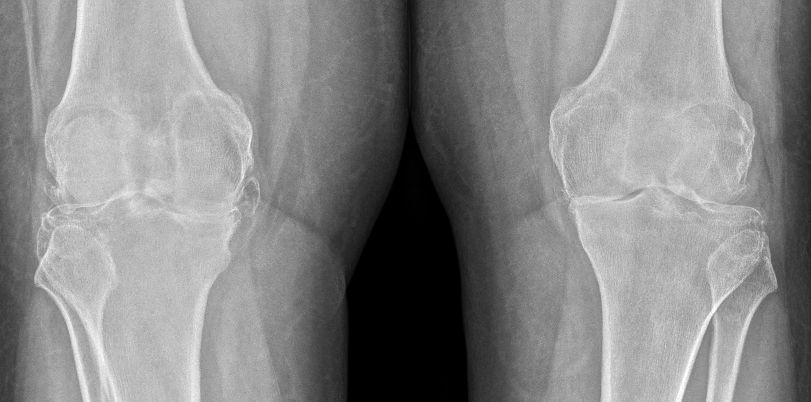
большие остеофиты (стрелочки), неравномерное сужение
суставной щели (медиальное, ближе к центру).
Напомним основные клинические проявления остеоартрита: боль, деформация, крепитация («треск» при движении) и тугоподвижность сустава. Надо отметить, что просто хруст в суставах (без болей, припухания и «заклинивания») чаще всего нестрашен. А вот если хруст сопровождается болями или припухлостью — надо срочно искать причину. Для гонартроза, как и для других, очень характерна «стартовая боль» — боль в начале движения, ходьбе, при вставании. При коксартрозе типична боль при ходьбе, иррадиирущая (отдающая) в пах. Этот симптом (боль в паху при движении, в том числе при отведении ноги) может быть первым признаком очень грозного заболевания — асептического (аваскулярного) некроза головки бедра (АНГБ). Количество диагнозов «асептический некроз» чрезвычайно выросло в последнее время, в «эпоху COVID-19». Это связано как непосредственно с воздействием вируса, так и с бесконтрольным применением гормонов, в частности дексаметазона. Сегодня уже ясно, что дексаметазон никак не может помочь пациентам с COVID-19 при легком течении, он помогает только тяжелым пациентам и несколько уменьшает смертность больных, которые находятся на аппаратном дыхании и им требуется кислородная поддержка. Назначение гормонов пациентам с COVID-19 с легкой или средней степенью тяжести, наоборот, ведет к увеличению смертности. А частое применение дексаметазона может привести (и приводит!) к асептическому некрозу, что заканчивается неминуемой операцией.
Мы одними из первых в мире в 2021 году доложили о случае асептического некроза после COVID-19 в журнале «Научно-практическая ревматология» (г. Москва, №4), а в 2023-м выпустили статью в известном международном журнале Rheumatology International (Скопус Q2) «Osteonecrosis amid the COVID-19 pandemic» («Остеонекроз на фоне пандемии COVID-19»). Об асептическом некрозе, пандемии COVID-19 и суставах, как и о применении гормонов, мы поговорим в одном из следующих материалов.
Появление первых симптомов артроза (это чаще всего боль) не должно быть поводом для паники, это, скорее, сигнал организма о необходимости обратиться к врачу и поменять сложившиеся двигательные стереотипы. Нужно уменьшить нагрузку на проблемный сустав. Если мы будем рассматривать наиболее часто поражаемые суставы (коленный и тазобедренный), то надо прежде всего снизить лишний вес. Самая простая формула, чтобы определить ваш нормальный вес: отнимите от вашего роста сто, получится должный вес. Надо стараться ограничивать движения, связанные с повышенной нагрузкой на суставной хрящ, уменьшить такие виды двигательной активности, как бег, прыжки, поднятие и перенос тяжестей, приседания, быстрая ходьба, особенно по пересеченной местности, подъем в гору, ходьба по лестницам. Следует избегать фиксированных поз, например, длительного сидения или стояния, сидения на корточках или работы в согнутом положении.
Несмотря на наличие ряда ограничений, необходимо вести активный образ жизни за счет увеличения двигательной активности, не оказывающей отрицательного воздействия на хрящ. Нужно заставить себя ежедневно выполнять специальные упражнения, заниматься гимнастикой, допустим пилатесом. Занятия плаванием являются оптимальным видом физических упражнений при остеоартрозе, можно заниматься на велотренажере. Применяются средства ортопедической коррекции — это специальные приспособления, позволяющие уменьшить нагрузку на сустав. К ним относятся ортопедическая обувь; супинаторы, назначаемые при плоскостопии; наколенники, способные уменьшить разболтанность коленного сустава, тем самым снизив травматизацию хряща при ходьбе; тейпы.
В настоящее время появились высокотехнологичные ортезы, которые стабилизируют сустав и позволяют пациентам достаточно активно двигаться. Ношение различных мягких ортезов (бандажей) из собачьей, верблюжьей и прочей шерсти, а также из турмалина бесполезно, ортез должен, прежде всего, разгружать сустав, быть достаточно жестким, а не согревать и расслаблять.
Лекарственная терапия в основном направлена на снятие воспаления и боли. В этом достигнуты определенные успехи с внедрением в практику селективных нестероидных противовоспалительных средств. «Старые» — диклофенак, индометацин — достаточно эффективны, но имеют массу побочных свойств. Особенно плохо они действуют на желудок: при длительном применении часто возникают язва желудка и 12-перстной кишки, эрозивный гастрит. Кроме того, нестероидные препараты негативно влияют на печень, почки, сердце. К сожалению, все лекарства, в том числе селективные НПВС, имеют побочные свойства, поэтому лечение всегда должно проходить под контролем квалифицированного врача, лучше ревматолога.
К сожалению, нельзя полностью вылечить остеоартроз, нельзя вернуть назад те костные изменения, которые уже произошли в суставе. Но снять воспаление и улучшить функцию сустава вполне под силу грамотному врачу. Широко рекламируемые и модные препараты из так называемой группы хондропротекторов («Дона», «Структум», «Терафлекс» или пищевые добавки, содержащие хондроитин сульфат или гликозаминогликаны) являются лишь частью терапии, но они рассчитаны на долгосрочное действие и часто не так быстро приносят эффект, как хотелось бы.
Хочу предостеречь пациентов от применения широко рекламируемых различных БАДов, большинство из них никогда не проходило клинических испытаний! Чаще всего их распространяют мошенники, это своего рода пирамида. Никто не знает состава, туда часто добавляют гормональные, а иногда и близкие к наркотическим вещества. Конечно, после приема таких «псевдолекарств» больному становится лучше, он «подсаживается» на препарат, и ему приходится принимать все большие дозы. Лучшего эффекта можно добиться комплексной терапией, куда, помимо хондропротекторов и нестероидных препаратов, входят лечебная физкультура, физиотерапия, иглорефлексотерапия.

Хотелось бы коротко высказать свое мнение о чрезвычайно модном сегодня методе лечения остеоартроза. Это PRP-терапия (плазмолифтинг), которую многие недобросовестные врачи рекламируют как панацею. Сделал — и все прошло. Если сформулировать просто, то PRP-терапия (Patelet Rich Plasma) — это использование плазмы, выделенной из крови пациента, для инъекций в больной сустав. Этот метод лечения известен давно, но за последние десять лет преимуществ перед введением в сустав гиалуроновой кислоты он не доказал. Это говорится в рекомендациях EULAR и ACR (Европейская и Американская ассоциации ревматологов) и Американской ассоциации ортопедов. А риск возможных осложнений (в том числе гнойный артрит коленного сустава) возрастает многократно. То есть на сегодня этот метод эффективен так же, как введение гиалуроновой кислоты, но с большим количеством осложнений. Конечно, нужны серьезные результаты, возможно, в будущем мы получим более оптимистичные прогнозы по этому методу лечения. Однако без вариантов — эту серьезную процедуру должны проводить хорошо подготовленные специалисты в адекватных условиях.
Хочу предупредить также об опасности внутрисуставного введения гормонов (дипроспан, бетаспан, кеналог и др.). Эти препараты дают быстрый эффект, однако впоследствии лечить сустав становится тяжелее. При частом введении кристаллы препарата откладываются в синовиальной оболочке и вызывают дополнительное воспаление сустава. В экстренных случаях допустимы внутрисуставные инъекции, выполненные специалистами, но повторные вызывают много вопросов, а более чем три штуки в один сустав вообще недопустимы. Конечно, надо помнить и то, что все эти препараты — длительно действующие гормоны, которые могут вызвать повышение сахара, давления, остеопороз, язву желудка и другие нежелательные явления.
Больших успехов достигли в лечении тяжелых случаев остеартроза ортопеды. Применение искусственных протезов, а они сейчас довольно хорошего качества (в основном, правда, из дальнего зарубежья), позволяет многим больным прямо «заново родиться». Причем оперироваться сейчас можно и в Шымкенте, это относится к больным 3-4 стадий остеоартроза. Надо понимать, что возраст не является противопоказанием к операции, несколько лет назад широко освещали протезирование коленного сустава 100-летнему пациенту. К сожалению, с возрастом практически всегда встречаются сопутствующие болезни, которые могут стать препятствием к операции: тяжелый сахарный диабет, неконтролируемая гипертензия, инфаркты, инсульты. Часто в таких случаях приходится отказаться от операции, ограничиться комплексным лечением и ношением качественных ортезов. Современные ортезы (бандажи, наколенники) позволяют некоторым пациентам даже кататься на горных лыжах.
Молодым же чаще всего мы стараемся рекомендовать эту операцию как можно позже, надо помнить, что средняя длительность нормальной работы искусственного сустава около 15 лет. Дело не в самом протезе, современные материалы, из которых их изготавливают, практически не изнашиваются, но сустав «вставляется» в кость и со временем «разбалтывается», особенно при наличии остеопороза, который очень часто встречается после 60 лет. Именно поэтому обязательно прохождение такого исследования, как денситометрия, то есть определение плотности костной ткани.
К сожалению, остеоартроз встречается в любом возрасте, в том числе у детей и молодых. Это так называемый вторичный остеоартроз. Чаще всего это результат серьезных аутоиммунных болезней (ревматоидный артрит, системная красная волчанка) или травм. Практически у всех спортсменов-профессионалов есть остеоартроз (особенно это касается футбола, волейбола, легкой атлетики).
В любом случае главное правило: если у вас заболели (а особенно если припухли) суставы — надо обратиться к ревматологу и поставить диагноз.
Сто лет вашим суставам без капремонта!
Ч. БАЙМУХАМЕДОВ,
профессор Южно-Казахстанской
медицинской академии, директор
Медицинского центра
болезней суставов
г. Шымкента, вице-президент РОО «Казахская
коллегия ревматологии»
Медицинский центр болезней суставов
Адрес: г. мкр Туран, ул. Кокшокы, 366.
Телефон: +7 707 443 39 32, 7 775 348 41 03.

E-mail: info@sustav-med.kz
https://www.instagram.com/sustavmed/
Телефон:
WhatssApp звонки и чат: +7 (707) 443 39 32
Режим работы:
Пн — Пт 08:30 — 17:00
Сб 08:30 — 12:00
Вс выходной




